* *

治療例

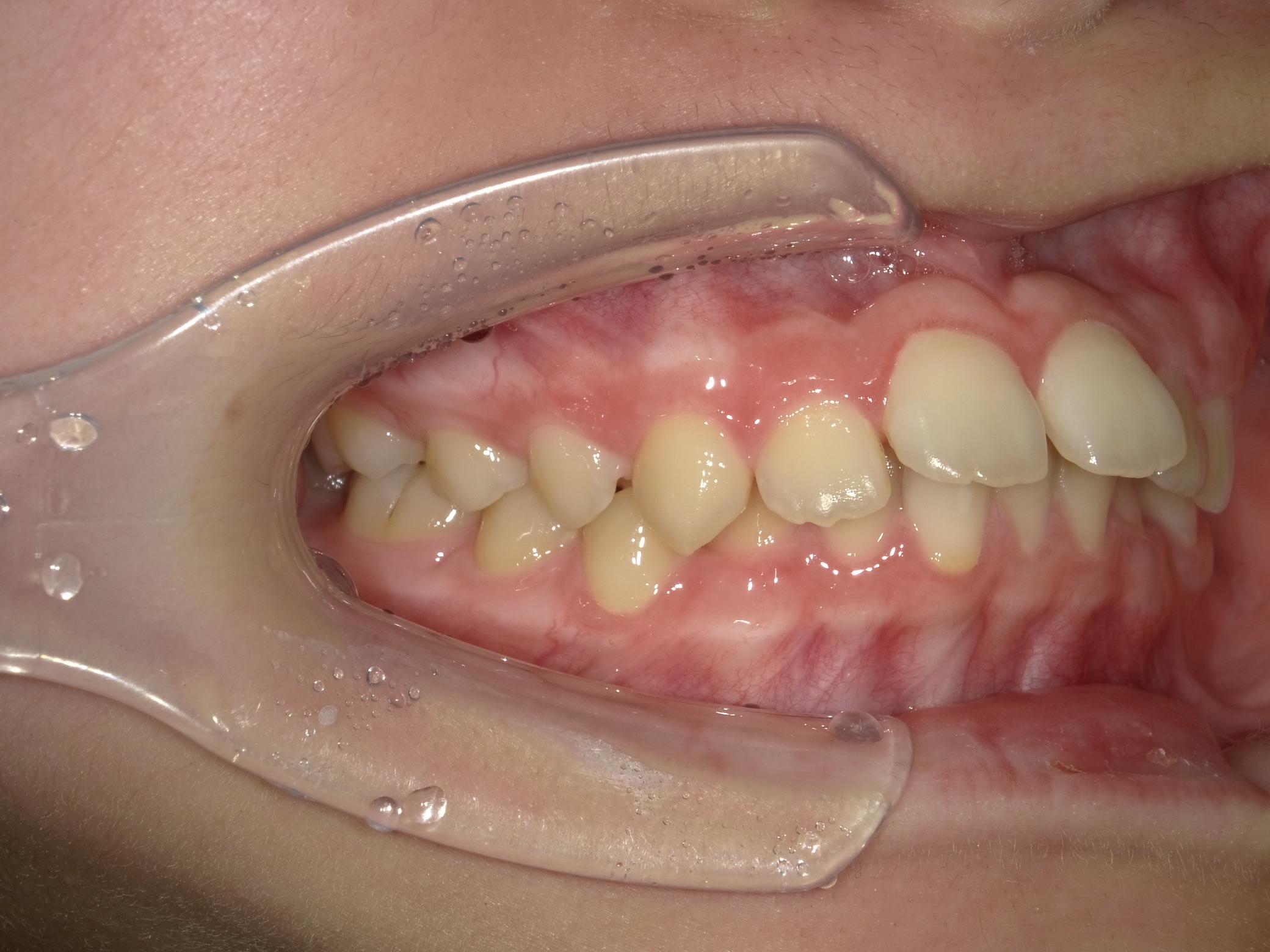
1年4カ月で前歯が出ていること、隙間があることを改善したケース

マウスピース矯正インビザライン単独による非抜歯矯正治療を実施。
隙間を閉じ上の歯を下げるようにマウスピース矯正で治療を行いました。

  • 治療前

    *
  • *
  • 治療後

    *
  • *
  • *
  • *
主訴
前歯にすき間がある上に出っ張っているのを治したい
治療法
動的治療期間
1年4カ月
治療費
880,000円(税込968,000円)

想定リスク等

インビザライン治療は矯正装置(アライナー)の適切な使用が不可欠です。装着時間や装着方法が不適切な場合、予定通り歯が動かないことがあります。
※マウスピースの材料は厚生労働省に認可を得たものですが、インビザラインは完成物薬機法対象外の矯正歯科装置であり、
医薬品副作用被害救済制度の対象外となる場合があります。

一覧へ戻る

  • *

    大人の矯正

    マウスピース矯正

    部分矯正

患者様の身体そして心に寄り添い、ここに来て良かったと思ってもらえる矯正歯科治療を提供している歯医者です。
伊勢崎市、太田市、桐生市、舘林市、足利市、佐野市、
高崎市、前橋市、渋川市、藤岡市、安中市、富岡市、吉岡町、熊谷市などから
矯正歯科治療をされる患者様が多数来院。
マウスピース矯正(インビザライン )での矯正歯科治療も可能。

ページの先頭へ戻る

ご予約を希望する医院を
選択してください

  • 高崎おとなこども歯科・矯正歯科
  • 尾島デンタルクリニック
  • 伊勢崎おとなこども歯科・矯正歯科
  • 足利おとなこども歯科・矯正歯科
  • 熊谷おとなこども歯科・矯正歯科